تازه های مقالات بیهوشی


News of anesthesia articles


آرتروگریپوز مولتی‌پلکس کانجنیتا (AMC): Arthrogryposis Multiplex Congenita

آرتروگریپوز مولتی‌پلکس کانجنیتا (AMC): Arthrogryposis Multiplex Congenita

آرتروگریپوز مولتی‌پلکس کانجنیتا (AMC) یک اختلال نادر ولی پیچیده است که مدیریت بیهوشی در آن نیازمند دقت بالا، اجتناب از داروهای پرخطر (مانند سوکسینیل‌کولین و داروهای استنشاقی در بیماران مشکوک به MH)، انتخاب روش‌های ایمن مانند TIVA، و پایش دقیق در طول و پس از عمل است. استفاده از یک چک‌لیست کاربردی بیهوشی کمک می‌کند تا تیم درمانی هیچ نکته‌ای را از قلم نیندازد. در نهایت، همکاری بین‌رشته‌ای (ارتوپدی، بیهوشی، فیزیوتراپی و PICU) کلید موفقیت در بهبود نتایج این بیماران است.

خطر آسیب حاد کلیه پس از جراحی غیرقلبی بدنبال استفاده از فنیل افرین حین عمل برای درمان افت فشار خون

خطر آسیب حاد کلیه پس از جراحی غیرقلبی بدنبال استفاده از فنیل افرین حین عمل برای درمان افت فشار خون

ارتباط استفاده اختصاصی از فنیل افرین حین عمل برای درمان افت فشار خون با خطر آسیب حاد کلیه پس از جراحی غیرقلبی

متادون برنامه ریزی شده نیاز کلی به مواد مخدری را پس از فیوژن خلفی ستون فقرات کودکان کاهش می دهد: یک سری مطالعه تک مرکزی  گذشته نگر

متادون برنامه ریزی شده نیاز کلی به مواد مخدری را پس از فیوژن خلفی ستون فقرات کودکان کاهش می دهد: یک سری مطالعه تک مرکزی گذشته نگر

پروتکلی با دوزهای متادون حین عمل و برنامه ریزی شده بعد از عمل باعث کاهش 45 درصدی مصرف مواد مخدری در مقایسه با پروتکل مبتنی بر PCA با بی دردی مشابه پس از فیوژن خلفی ستون فقرات در کودکان شد

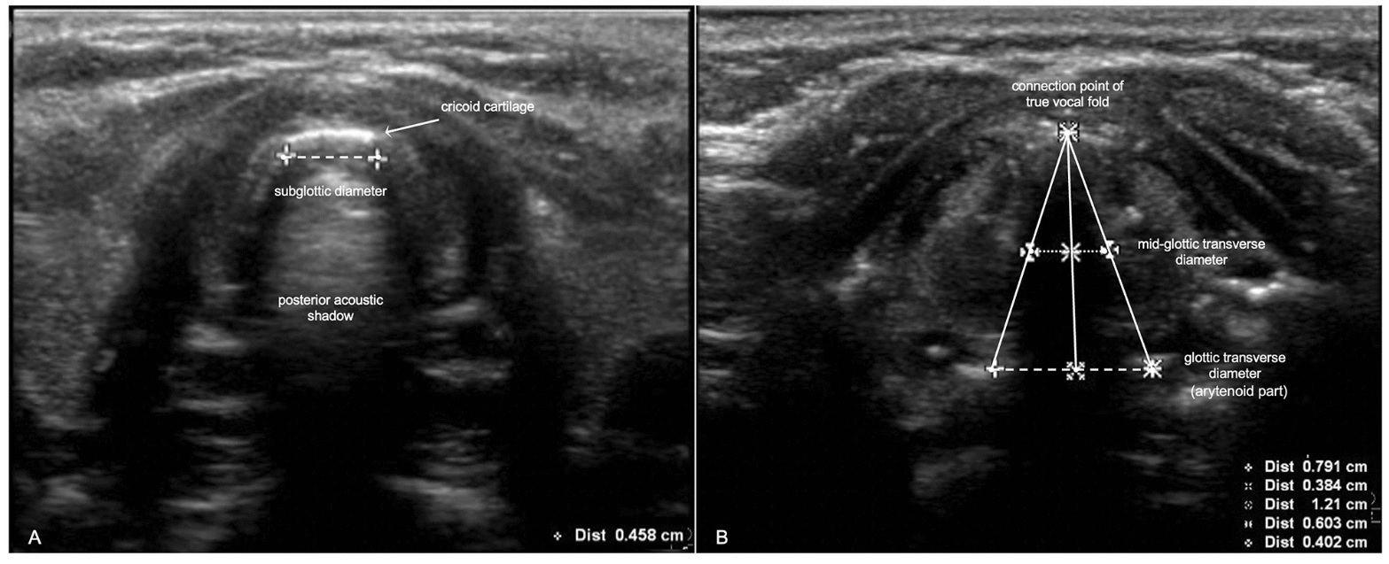
اندازه گیری سونوگرافی قطر عرضی گلوت و قطر ساب گلوت برای پیش بینی اندازه لوله داخل تراشه در کودکان: یک مطالعه کوهورت آینده نگر

اندازه گیری سونوگرافی قطر عرضی گلوت و قطر ساب گلوت برای پیش بینی اندازه لوله داخل تراشه در کودکان: یک مطالعه کوهورت آینده نگر

Ultrasonography measurement of glottic transverse diameter and subglottic diameter to predict endotracheal tube size in children: a prospective cohort studyاندازه گیری سونوگرافی قطر عرضی گلوت و قطر ساب گلوت برای پیش بینی اندازه لوله داخل تراشه در کودکان: یک مطالعه کوهورت آینده نگر

نکته های آموزش بیهوشی و مراقبت های ویژه
عضویت خبرنامه
عضو خبرنامه ماهانه وب‌سایت شوید و تازه‌ترین نوشته‌ها را در پست الکترونیک خود دریافت کنید.
آدرس پست الکترونیک خود را بنویسید.
کمی صبر کنید...
لوگوی بله